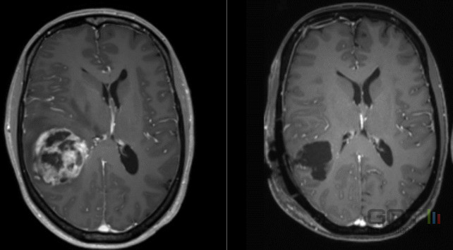
Le glioblastome est tristement célèbre pour être une forteresse imprenable, résistant aux traitements classiques et se cachant du système de défense de l'organisme.

Mais une équipe des universités de Washington et Northwestern a trouvé une faille inattendue : passer par les nerfs olfactifs pour livrer un cheval de Troie microscopique directement au cœur de la maladie, contournant ainsi les barrières biologiques habituelles.

Pourquoi ce cancer est-il si difficile à traiter habituellement ?

Le problème majeur avec ces tumeurs, c'est qu'elles sont qualifiées de "froides" sur le plan immunologique. Concrètement, elles agissent comme des fantômes, indétectables par les gardiens de notre corps.

glioblastome

Pour contrer cela, il faut réussir à stimuler les voies immunitaires, et plus précisément le sentier STING, un mécanisme d'alarme cellulaire. Jusqu'à présent, les médicaments capables de déclencher cette alerte se dégradaient trop vite ou nécessitaient des injections directes et risquées dans le cerveau. C'est là que la nouvelle méthode change la donne en proposant un accès direct et sûr via les fosses nasales.

Comment de simples gouttes peuvent-elles détruire une tumeur ?

Le secret réside dans la structure même du médicament : des acides nucléiques sphériques organisés autour d'un cœur en nanoparticule d'or. Cette architecture protège le principe actif et lui permet de voyager le long des nerfs jusqu'au cerveau.

Cancer du sein

Lors des tests effectués sur des souris, ces gouttes ont transformé l'environnement de la tumeur, la rendant visible et vulnérable aux attaques du système immunitaire. Couplé à un autre traitement, ce spray a permis d'éradiquer le cancer et même de créer une mémoire immunitaire empêchant toute récidive à long terme.

Est-ce bientôt disponible pour les humains ?

Il faut garder la tête froide, car le chemin vers un traitement autorisé est encore long. Si les résultats sont spectaculaires sur le modèle animal, prouvant la faisabilité du concept "nose-to-brain" (du nez au cerveau), les essais cliniques sur l'homme ne sont pas pour tout de suite.

Cependant, cette preuve de concept ouvre une voie royale pour traiter non seulement ce cancer, mais potentiellement d'autres maladies neurodégénératives difficiles d'accès, en transformant une procédure chirurgicale complexe en une simple administration nasale.

Foire Aux Questions (FAQ)

Qu'est-ce que la voie STING ?


C'est un mécanisme biologique naturel (Stimulator of Interferon Genes) qui, lorsqu'il est activé, signale au système immunitaire la présence d'une anomalie ou d'un danger, déclenchant une forte réponse de défense.

Pourquoi utiliser de l'or ?


L'or est utilisé sous forme de nanoparticule inerte pour servir de structure de base. Il permet d'agencer les brins d'ADN de manière sphérique, ce qui les rend plus stables et capables de pénétrer dans les cellules cibles.

Le traitement a-t-il des effets secondaires ?


Chez les animaux testés, le traitement est resté localisé dans le cerveau et le système lymphatique proche, sans se disperser dans tout le corps, ce qui suggère un risque réduit d'effets secondaires systémiques.