Une équipe vient de publier dans la revue Science des résultats qui pourraient changer la donne dans la lutte contre l'usure des articulations. L'étude démontre qu'en bloquant une protéine spécifique liée à l'âge, il est possible non seulement de reconstruire le cartilage endommagé chez des animaux âgés, mais aussi de prévenir l'apparition de l'arthrite suite à une blessure.

Le mécanisme, testé avec succès sur des tissus humains en laboratoire, pourrait changer radicalement le traitement de l'ostéoarthrite.

Comment fonctionne cette nouvelle approche ?

Le traitement cible une protéine nommée 15-PGDH, qualifiée de "gerozyme" car sa concentration augmente avec l'âge et semble accélérer le déclin des tissus. Cette enzyme dégrade la prostaglandine E2, une molécule clé dans les signaux de réparation cellulaire. En inhibant la 15-PGDH, les chercheurs augmentent localement la prostaglandine E2, stimulant ainsi un processus de réparation naturel.

repousse cartilage

Contrairement à ce que l'on pourrait penser, cette réparation ne repose pas sur des cellules souches. Ce sont les cellules cartilagineuses existantes, les chondrocytes, qui modifient leur activité génétique pour retrouver un état plus "jeune" et se remettre à produire du cartilage de qualité, dit hyalin. Il s'agit d'une véritable reprogrammation cellulaire directe.

Quels ont été les résultats concrets sur les animaux ?

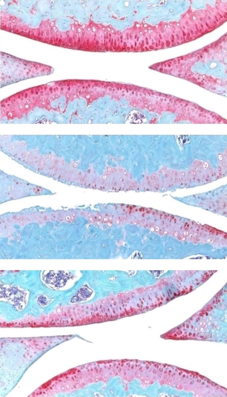
Les expériences menées sur des souris âgées ont été spectaculaires. Que l'inhibiteur soit administré par injection systémique ou directement dans le genou, le cartilage aminci par l'âge s'est visiblement épaissi sur toute la surface de l'articulation. L'effet a été qualifié de "remarquable" par les scientifiques, qui ont été surpris par une telle ampleur.

cartilage genou 01

De plus, dans un modèle simulant une rupture du ligament croisé antérieur (LCA), une blessure fréquente chez l'humain, le traitement a prévenu le développement de l'arthrose. Les souris traitées ont montré moins de dommages, une meilleure mobilité et moins de signes de douleur que le groupe témoin non traité.

Quel est le potentiel pour les traitements humains ?

Les implications sont immenses. L'arthrose touche des millions de personnes et coûte des milliards chaque année sans qu'aucun médicament ne puisse inverser sa progression. Cette découverte ouvre la porte à des traitements qui s'attaquent à la cause même de la dégradation du cartilage. Des échantillons de tissus humains prélevés lors de poses de prothèses ont d'ailleurs réagi positivement en laboratoire, montrant des signes de reconstruction.

inflammation articulations

Une version orale d'un inhibiteur de la 15-PGDH est déjà en essais cliniques de phase 1 pour la faiblesse musculaire liée à l'âge, et sa sécurité a été démontrée chez des volontaires sains. L'espoir est donc de lancer rapidement un essai similaire spécifiquement pour la régénération du cartilage et, à terme, d'imaginer un avenir où la prothèse articulaire ne serait plus une fatalité.

Foire Aux Questions (FAQ)

Ce traitement utilise-t-il des cellules souches ?

Non, et c'est l'un des aspects les plus surprenants de cette découverte. La régénération est obtenue en "reprogrammant" les cellules cartilagineuses déjà présentes dans l'articulation (les chondrocytes) pour qu'elles redeviennent actives et fonctionnelles, comme dans un organisme plus jeune.

Quand ce traitement pourrait-il être disponible pour le public ?

Il est encore trop tôt pour le dire. Bien qu'un inhibiteur similaire soit déjà en essai clinique pour une autre application (faiblesse musculaire), des essais spécifiques pour le cartilage devront être menés. Ce processus nécessite plusieurs années de tests rigoureux pour garantir la sécurité et l'efficacité avant une éventuelle commercialisation.